桃園、中壢、台北|專業植牙、全口重建,重塑自然美牙!

不必再等!一天完成的立即植牙

立即植牙 — 快速重拾自信笑容!

當牙齒因嚴重蛀牙、牙周病或外傷斷裂而必須拔除時,許多人最擔心的就是「缺牙空窗期」,這段時間不僅影響外觀,還可能導致咀嚼功能下降、齒槽骨逐漸萎縮,甚至造成臉型改變。
好消息是,隨著牙科技術進步,現在可以透過「拔牙立即植牙」(即拔即種)方式,在拔牙的同一天就完成植牙,大幅縮短療程時間,讓患者快速恢復美觀與自信。

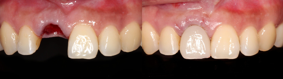
照片經當事人同意由當代牙醫植牙中心公開使用,實際效果因個人條件不同有所差異。

我的門牙曾經因為意外撞斷,只能用假牙牙套套住。這些年來,每次咬到比較硬的食物,假牙就會脫落,需要一直回診黏貼。直到最後真的沒辦法再黏上去,我才開始考慮植牙。

會選擇當代牙醫,是因為我的家人也都在這裡治療,他特別推薦梁嘉元醫師幫我做植牙,讓我很放心。

最讓我開心的是,手術當天就有臨時假牙,不用擔心沒有門面,而且最後還可以自己挑選假牙的顏色,做出來的外型非常自然,家人和同事都看不出來是假牙,真的很滿意!

 

什麼是立即植牙

傳統植牙通常在拔牙後需等待數月,待傷口及骨頭癒合後,再進行植牙手術。然而,這段等待期往往造成「缺牙空窗期」,不僅影響外觀,還可能導致咀嚼功能下降、齒槽骨流失

立即植牙(Immediate Implant Placement)指在拔牙的同時,於原本拔牙窩洞直接植入人工植體,也被稱為「拔牙立即植牙」或「即拔即種」,並在部分條件下立即安裝臨時假牙,讓患者幾乎不必經歷缺牙的尷尬期,並能更好地維持牙齦及骨組織的形態,提升美觀與功能。

 
立即植牙—門牙X光片前後紀錄,拔除牙齒並植入人工牙根

手術植入人工牙根,立即裝上臨時固定假牙,快速恢復美觀、減少缺牙空窗期。

立即植牙的優點

。縮短療程時間: 省去拔牙後等待骨頭癒合的過渡期,從拔牙到裝上人工牙冠的總療程顯著減少。
。減少手術次數: 同時完成拔牙與植牙,減少患者多次麻醉及手術的不適感。
。維持牙齦與骨頭形態: 即刻植入植體有助於支撐牙齦及骨組織,降低拔牙後萎縮的風險,尤其前牙區效果更佳,美觀度提升。
。提升舒適度與生活品質: 部分病例可同時安裝臨時假牙,避免無牙期間的尷尬與不便。
。心理壓力較小: 療程簡化,患者焦慮感相對降低。

適合立即植牙的對象

。單顆或少數顆牙需要拔除且周邊骨質健康者。
。牙齒因蛀牙、斷裂或局部牙周問題需拔除,但未出現急性發炎或嚴重感染者。
。希望縮短無牙期、追求快速恢復外觀與咀嚼功能的患者。
。前牙區(美觀區域)特別推薦,能夠有效維持齒槽骨與牙齦線條。
 

立即植牙手術流程

專業諮詢與評估

專業的諮詢與評估

植牙醫師會透過X光片、電腦斷層(CT)等影像檢查,評估牙槽骨高度、厚度、密度以及鄰近解剖結構(如神經、鼻竇等)。

數位口腔掃描

術前預先掃描口腔,提前製作固定臨時假牙,手術當下即可裝上,避免無牙困惱。

立即植牙手術

由當代植牙中心專業醫療團隊進行植牙手術,透過TCI鎮靜舒眠麻醉,一覺醒來就完成治療,害怕看牙患者也能放心植牙。

溫和型高壓氧艙

立即植牙術後做溫和型高壓氧艙,加速傷口修復。

重拾美麗笑容

手術後重拾美麗笑容。

其他說明

牙體技術師

依據鄰近真牙的顏色、形狀與質地,為假牙進行專業染色處理,使植牙外觀更自然、協調。

完美蛻變

植牙前缺牙影響美觀與咀嚼功能,植牙後恢復完整牙列,不僅提升自信笑容。

立即植牙真實案例


之前聽朋友說植牙會流血,甚至流膿而且會很痛,經由當代植牙中心梁嘉元主任詳細的解說才讓我了解什麼是鎮靜植牙,手術前一天真的很緊張晚上也睡不好,原本對牙醫的印象也是恐懼的,但在鎮靜植牙手術當中聽到醫師的聲音告訴我:「我們手術都好嚕~」,我覺得我像是從美好的睡眠中醒來,很驚訝!比我想像中的植牙好太多了!
我想對當代牙醫植牙團隊說『讚』!!!
 

立即植牙真實案例2


這次的植牙經驗讓我非常驚喜和感動。原本因為門牙斷裂,心情相當沮喪,也擔心會影響日常生活和外在形象。沒想到來到診所後,整個療程進行得非常順利,從拔除斷裂牙根、植入人工牙根,到最後連臨時固定假牙都安裝完成,前後竟然不到一個小時!過程中幾乎沒有太大不適,感謝梁嘉元醫師精湛的醫術,讓我一天就有牙齒。

  

植牙Q&A

  • 立即植牙會痛嗎?
    手術過程會施打局部麻醉,大多數患者僅感到輕微不適。術後可能有腫脹、痠痛,但多可藥物緩解並於數天內恢復。

    「補肉手術」則是針對牙齦組織不足、萎縮或覆蓋不良等問題,進行牙齦移植或重建,使植體周圍有健康且充足的軟組織保護。這不僅有助於美觀,也能預防細菌感染及植體暴露。兩者皆可根據個人條件與需求,由醫師評估後安排,讓植牙達到更理想的效果。
  • 術後需要特別照顧嗎?
    術後需保持口腔清潔,避免刺激性食物,依醫師指示服藥及回診追蹤,才能確保植體順利癒合。
  • 植牙會失敗嗎?失敗原因有哪些?
    植牙雖然成功率高,但仍有失敗的可能。常見失敗原因包括:
    1. 骨整合不良,即植體未能與骨頭緊密結合,可能因骨質不足、手術技術不當或過早受力所致。
    2. 感染,如術後清潔不佳、抽菸或糖尿病控制不良,容易導致傷口感染或植體周圍炎。
    3. 植體位置不正確,影響咬合及美觀,也可能造成壓力集中導致鬆動。
    4. 全身健康因素,如免疫力低下、慢性疾病未控制等都會影響癒合能力。
    5. 長期缺乏維護,未定期回診檢查及口腔清潔不良,易導致植體周圍組織發炎甚至脫落。
    若出現異常疼痛、搖晃或腫脹,應儘速回診評估處理。
  • 植牙後多久可以吃東西?
    手術當天建議等麻藥退後再進食,盡量選擇軟質、溫涼食物,避免咬硬物及刺激性食物。

     

更多植牙案例